Author & Practice

Dr. Amir Badali Haghi

Dr. Amir Badali Haghi created this highly esthetic direct anterior restoration using the els extra low shrinkage® composite from SAREMCO Dental AG. The material’s extremely low polymerization shrinkage, balanced opacity system, and optimized handling properties enabled a fully controlled, minimally invasive workflow with exceptional precision, natural light dynamics, and long term stability throughout the entire restorative procedure.

Minimally Invasive

Tooth preserving direct restorations with precisely controllable layer thicknesses and excellent sculptability.

Low-Shrinkage-Technology

Extremely low polymerization shrinkage for superior marginal integrity and long term dimensional stability.

Multilayer Shade Concept

Perfectly coordinated dentin, enamel, and effect shades for natural light dynamics and depth.

High Esthetic Finish

Brilliant, high gloss polishable surfaces with stable long term esthetics in the anterior region.

Assessment & Planning

Shade Analysis and Layering Concept


Analysis of tooth shade, value, and translucency to define a structured layering protocol with els extra low shrinkage®. Establishment of the IT palatal base, condition based dentin layer, and final IB enamel coverage for controlled light dynamics.

Preparation Phase

Minimally Invasive Enamel Preparation

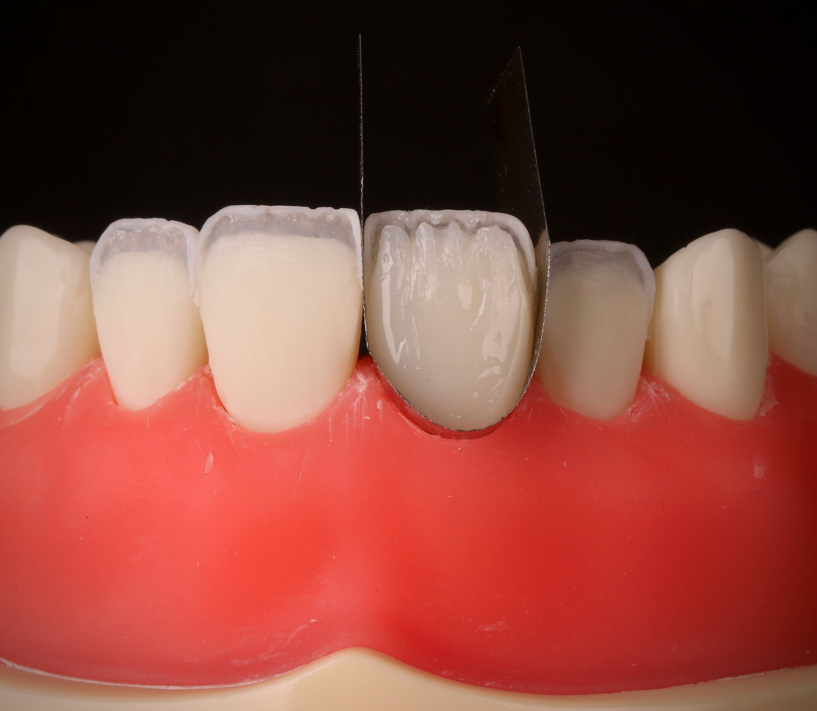
Tooth preserving vestibular preparation to optimize the bonding surface while maintaining maximum enamel preservation. Foundation for low stress polymerization thanks to extra low shrinkage® technology.

Enamel Framework Step

Palatal Wall with IT

Construction of the palatal shell using IT Incisal Translucent. Controlled light transmission and a stable incisal reference for the subsequent layering.

Esthetic Layering

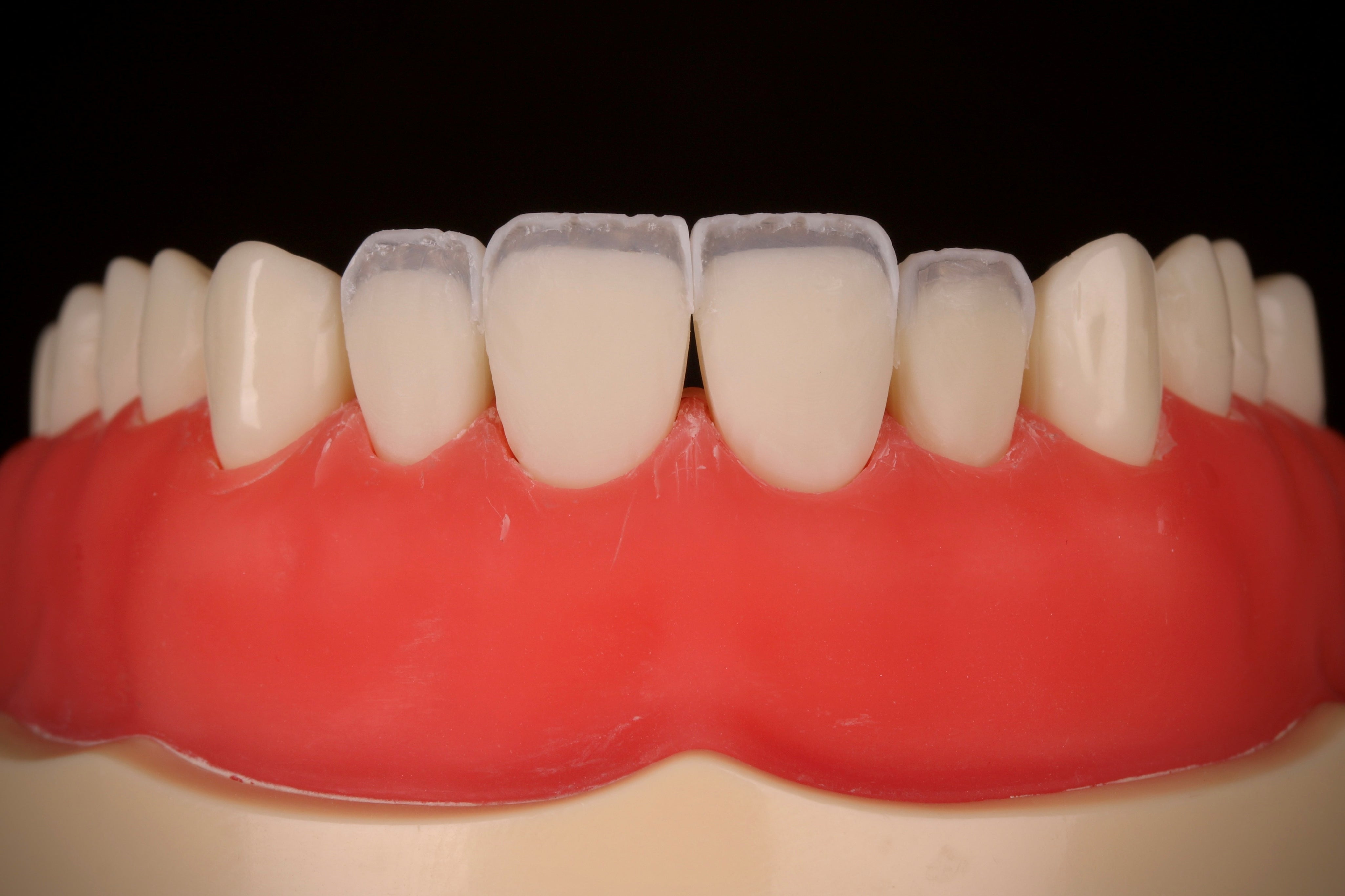
Dentin Build Up and Halo Integration

Condition based dentin build up to control form, volume, and value.
Targeted halo design coordinated with the dentin shade to optimize depth and light reflection.

SHADE AND OPTICAL CONTROL

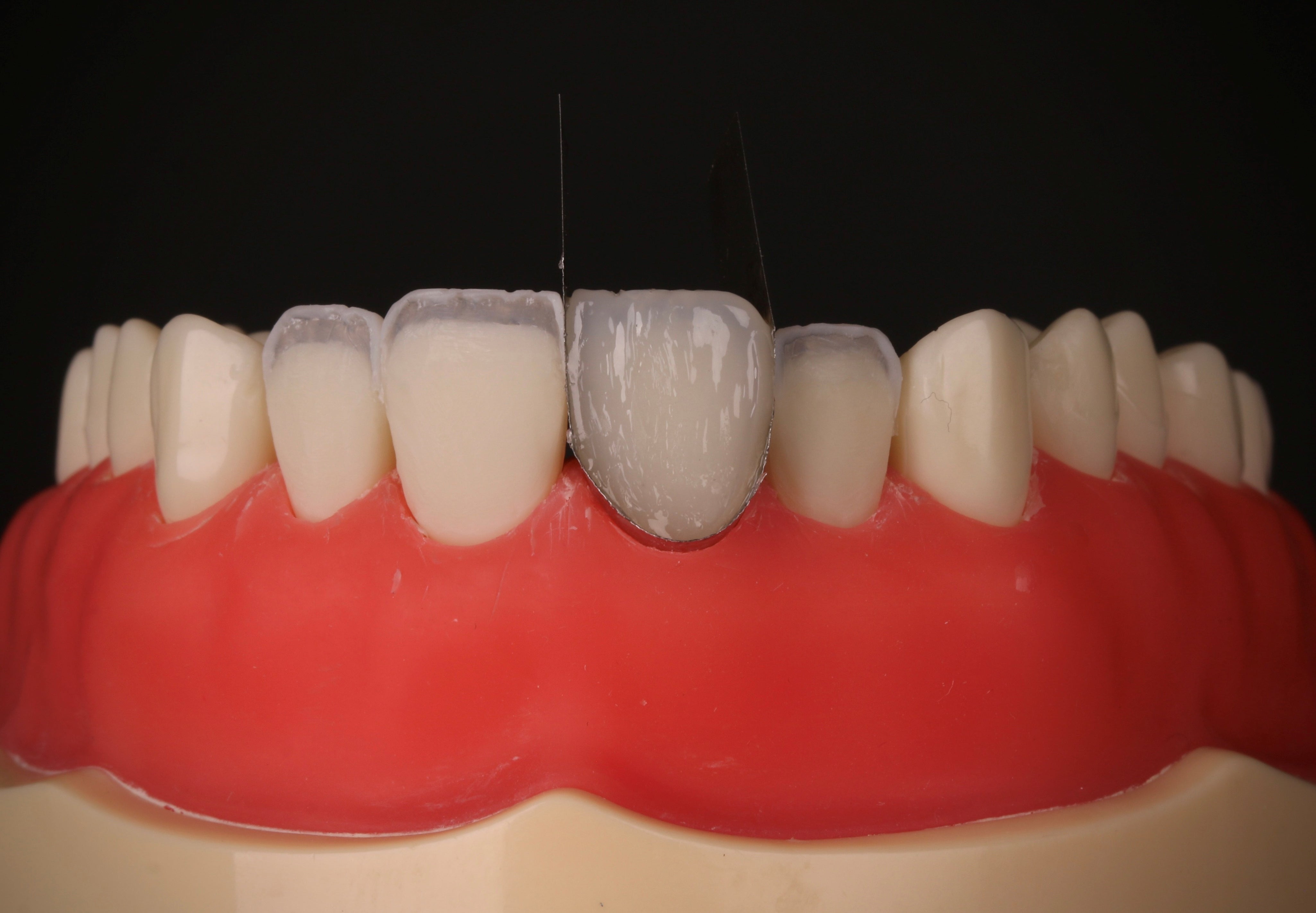
Translucency and Value Control

Fine tuning of the optical outcome through precise material selection. Brightness control and depth effect are achieved by coordinated dentin and incisal masses.

Final Stage

Final Enamel Layer with IB

Application of the IB Incisal Blue enamel layer to complete the morphology. Natural translucency, harmonious incisal edge, and stable surface esthetics achieved through structured micro texturing and polishing.

Shades-9-Shade_Guide_1.png
els_composite__usa_095fd762-2e48-4ed2-8bb9-222c1df37346.png
Veneer_with_els_1.jpg
direct-veneer-els-composite_2.jpg
direct-veneer-els-composite_3.jpg
direct-veneer-els-composite_5.jpg
MATERIAL PERFORMANCE

els extra low shrinkage® composite | syringe

The compact application syringe enables precise dispensing and controlled layering of even the smallest composite increments. The stable consistency remains reliable even at elevated temperatures, ensuring safe and reproducible sculpting. Ideal for anatomical body and enamel build ups in both anterior and posterior regions.

APPLICATION CONTROL

els extra low shrinkage® composite | tips

The pre filled composite tips allow highly targeted application in hard to reach areas. Ideal for proximal build ups, incisal characterization, and minimally invasive repairs. The material provides consistently uniform extrusion without slumping, supporting clean, controlled, and efficient handling.

HANDLING & ADAPTATION

els extra low shrinkage® flow | syringe

SAREMCO els extra low shrinkage® flow is a flowable, light cured, radiopaque microhybrid composite with extremely low shrinkage stress for permanent restorations in anterior and posterior regions. els extra low shrinkage® flow is a polymer based restorative material and is ideal for small cavities and extended fissure sealing.

MINIMALLY INVASIVE APPLICATION

els extra low shrinkage® flow | tips

The combination of els extra low shrinkage® flow and the corresponding flow tips enables a highly precise, minimally invasive workflow. This TEGDMA and HEMA free fine hybrid composite features low shrinkage stress, excellent marginal integrity, and outstanding wettability. Ideal for the smallest cavities, fissure sealing, and micro invasive restorative procedures.

els-syr_1.png
els_composite.kit.png
els_flow.png
saremco_els_flow_dose_tips_ds_new.png
direct-veneer-els-composite_4.jpg

Esthetic Case Analysis

The initial situation presented insufficient incisal edge guidance with limited light dynamics. The objective was to restore harmonious proportions and natural translucency. Treatment planning defined a structured layering approach using IT as the palatal base, a condition based dentin build up, and a final IB enamel layer.

els-syr..png

Preparation and Surface Management

Minimally invasive enamel preparation to optimize bonding conditions while preserving maximum tooth structure. Controlled surface management provides the foundation for low stress polymerization with els extra low shrinkage®.

direct-veneer-els-composite_4.jpg

Build Up of the Palatal Base with Incisal Transparent

Sculpting of the palatal shell with IT to precisely define the incisal edge and stabilize light guidance. Structural reference for the entire layering procedure.

els-syr..png

Incisal Characterization and Halo Integration

Targeted design of the halo effect coordinated with the dentin shade. Optimized depth and controlled light reflection in the incisal area.

direct-veneer-els-composite_4.jpg

Body Layering

Dentin build up to control form, volume, and brightness. When indicated, SW can be used to selectively increase value without compromising optical depth.

els-syr..png

Final Enamel Layer with IB

Finalization with IB to harmonize translucency and brightness. Fine texturing and polishing ensure stable, natural anterior esthetics.

Discover Our Complete Range of Direct Restorative Composites

els extra low shrinkage® is a composite designed for highly precise anterior and posterior restorations, including flowable and tip based variants for minimally invasive indications. All els formulations are free from TEGDMA, HEMA, TPO, and fluoride. They offer extremely low shrinkage stress, excellent marginal integrity, minimal water absorption, and outstanding polishability. The result is long term esthetics and clinical reliability across all cavity classes.

Contact us for clinical support, material related recommendations, or assistance in locating your nearest distributor.