Zurück

Ein neuer Look. Das gleiche bewährte Komposit.

  • Ein neuer Look. Das gleiche bewährte Komposit.
1 / 1

Wir bei SAREMCO wissen, dass Konsistenz wichtig ist.
Nicht nur bei klinischen Ergebnissen, sondern auch bei den Materialien, auf die Zahnärzte täglich vertrauen. 

els.new.png

Neues Design. Bewährtes Komposit.

In den nächsten Wochen werden Sie bei els extra low shrinkage® composite ein neues Spritzendesign sowie ein aktualisiertes Etikett bemerken. Gerne erläutern wir kurz, was sich geändert hat und was nicht.

Zuerst das Wichtigste

Was unverändert bleibt

  • Die Komposit-Rezeptur bleibt exakt dieselbe
  • Die Handhabung bleibt unverändert
  • Die klinische Performance bleibt unverändert

Was aktualisiert wurde

  • Ein neues Spritzenelement, gefertigt bei einem Schweizer Hersteller
  • Ein aktualisiertes Etikett für bessere Identifikation und ein zeitgemässes Erscheinungsbild

els extra low shrinkage® composite ist seit vielen Jahren Teil bewährter restaurativer Arbeitsabläufe. Seine Zuverlässigkeit basiert auf Konstanz und langfristiger Qualität – und genau das bleibt bestehen.

Bewährte Ästhetik. Unverändert.
Die ikonische Ästhetik von els bleibt.Brillante Farben, bewährte Ergebnisse.
Verlässlich in jeder Indikation.
Alle Indikationen. Gleiche Performance. Gleiches Komposit.
Weiterentwicklung mit Augenmass.
Kleine Anpassungen im Design. Bewährte Qualität im Inneren.
Front_Dr.Amir_els.composite_dc8f1239-ea53-464a-a896-54f5d3f6f700.png
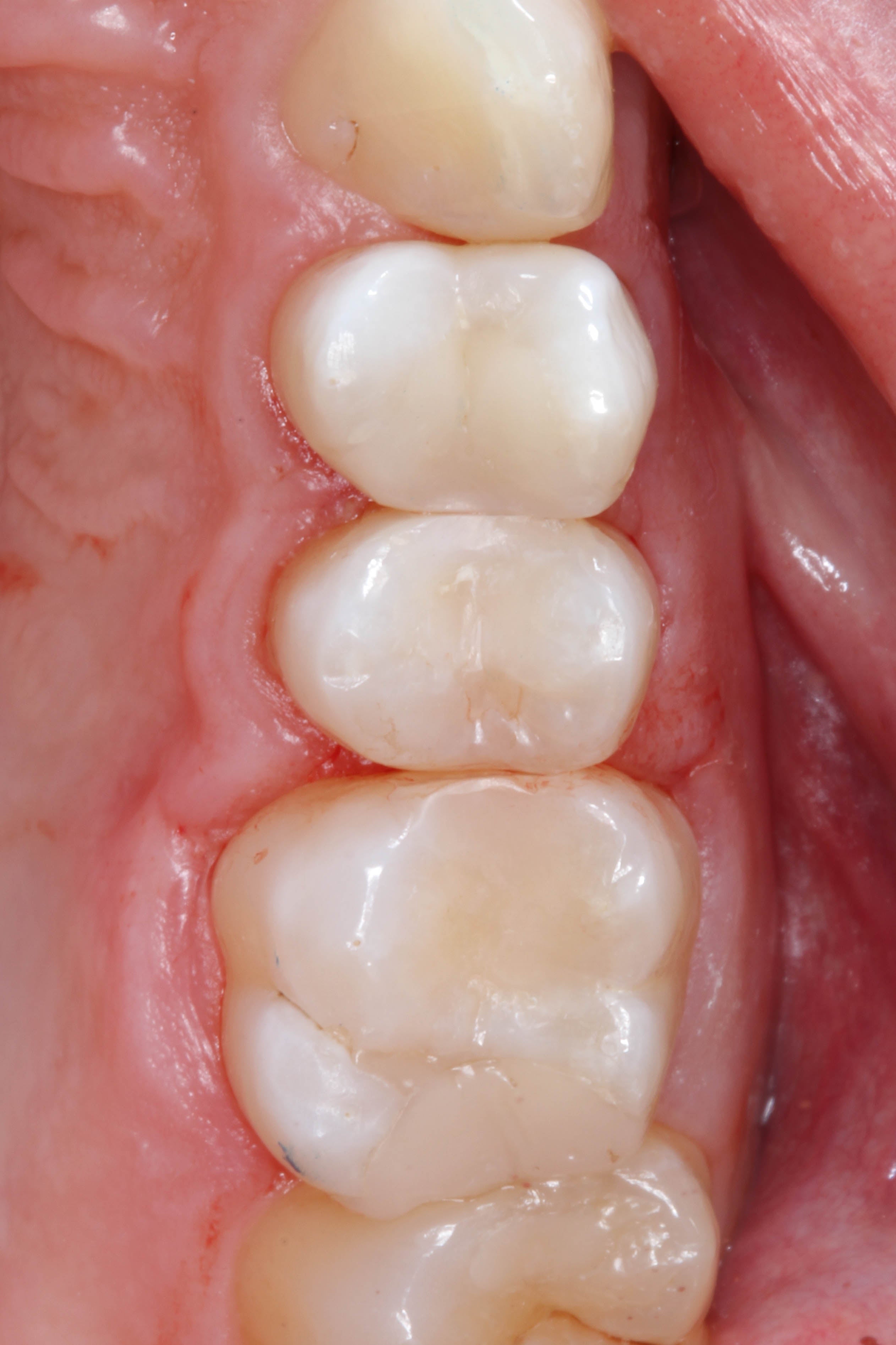
Bewährte Ästhetik. Unverändert.
Die ikonische Ästhetik von els bleibt.Brillante Farben, bewährte Ergebnisse.
IMAGE00019.jpg
Verlässlich in jeder Indikation.
Alle Indikationen. Gleiche Performance. Gleiches Komposit.
new.els.syringe.png
Weiterentwicklung mit Augenmass.
Kleine Anpassungen im Design. Bewährte Qualität im Inneren.

Ein einheitlicher Look – schrittweise eingeführt

Im Rahmen dieser Aktualisierung möchten wir darauf hinweisen, dass im Laufe dieses Jahres weitere SAREMCO Produkte schrittweise ein aktualisiertes visuelles Design erhalten können.

Auch hier gilt derselbe Grundsatz. Bessere Übersicht und Konsistenz. Behutsame, schrittweise Einführung. Keinerlei Einfluss auf die Materialeigenschaften.

Jede Anpassung erfolgt mit derselben Sorgfalt, die unsere Produktentwicklung seit jeher auszeichnet.